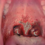
Africa is facing a dangerous resurgence of diphtheria, a vaccine-preventable disease that should no longer be claiming lives in the twenty-first century. In December 2025, Ministers of Health from eight African countries gathered in Brazzaville for a high-level advocacy meeting convened by the World Health Organization (WHO) Regional Director for Africa, Dr. Mohamed Janabi. The meeting brought together leaders from Chad, Guinea, Mali, Mauritania, Niger, Nigeria, and South Africa, alongside key partners such as UNICEF, Gavi, the Vaccine Alliance, and Africa CDC. Their collective message was clear: diphtheria must be eliminated, and no child should die from a disease that can be prevented with existing tools.
The urgency of this meeting was driven by alarming data. More than 90 percent of reported diphtheria cases have occurred among unvaccinated and under-immunized children, exposing persistent gaps in routine immunization coverage and access to essential health services. Dr. Janabi stated, “Diphtheria is an entirely vaccine-preventable disease and should not be resurfacing at this scale, particularly with the tools, knowledge and capacity we have to prevent it. This meeting is an opportunity to reaffirm a shared responsibility: no child should die from a disease we can prevent, and primary health care must remain a central pillar of health security.” His words reflect both the frustration and determination of health leaders who recognize that the resurgence of diphtheria is symptomatic of deeper systemic weaknesses.
The WHO continues to support affected countries through enhanced surveillance, laboratory confirmation, improved case management, vaccination activities, and coordination of limited global supplies of diphtheria antitoxin (DAT). Yet challenges remain. Persistent gaps in financing, laboratory capacity, timely detection, access to DAT and essential antibiotics, and community engagement are slowing progress and contributing to preventable deaths. The resurgence of diphtheria is not only a medical issue but also a reflection of fragile primary health-care systems, stagnant immunization coverage, and the lingering effects of the COVID-19 pandemic. In conflict-affected and displaced populations, insecurity and service disruptions further limit access to care, allowing outbreaks to spread undetected and increasing the risk of severe disease and death.
Dr. Jean Kaseya, Director General of Africa CDC, emphasized the importance of community engagement and local vaccine manufacturing, stating, “Strengthening community engagement and expanding vaccine manufacturing in Africa are critical to reinforcing routine immunization and primary health-care systems.” His remarks highlight the need for Africa to build self-sufficiency in vaccine production, reducing reliance on external supplies and ensuring timely access to lifesaving interventions.
During the meeting, participants reviewed the situation, shared country-level experiences, and identified key challenges and priority actions requiring sustained political and financial support. These actions include scaling up catch-up strategies and routine vaccination to close immunity gaps, strengthening surveillance and laboratory capacity for early detection, improving clinical management to reduce fatalities, and securing reliable access to essential medicines.
Mauritania’s Minister of Health, Dr. Mohamed Mahmoud Ely Mahmoud, expressed gratitude to WHO, Africa CDC, and other partners, noting, “Eliminating diphtheria outbreaks requires strong coordination. Our collective focus is on closing immunity gaps and ensuring timely detection and response to protect the most vulnerable in Mauritania.”
The meeting concluded with a call to action from Dr. Janabi, who urged governments to make diphtheria elimination a priority. He stressed that success is within reach if decisive action is taken to strengthen surveillance, expand immunization, and ensure rapid response in every corner of the region. His appeal reflects the broader vision of health security in Africa: building resilient systems that can prevent, detect, and respond to outbreaks before they spiral into crises.
The resurgence of diphtheria is a wakeup call. It demonstrates that progress in immunization cannot be taken for granted and that health systems must be continuously strengthened to withstand shocks. It also shows that global solidarity remains essential, as no country can fight these challenges alone. The renewed commitments made in Brazzaville represent a turning point, signaling that African leaders are ready to confront the
crisis head-on. With coordinated action, investment in vaccine manufacturing, and stronger community engagement, Africa can eliminate diphtheria and protect future generations from preventable disease.
In conclusion, the fight against diphtheria in Africa is about more than eliminating a single disease. It is about building resilient health systems, ensuring equitable access to vaccines, and protecting the most vulnerable. The commitments made by Ministers of Health and partners in December 2025 reflect a shared determination to close immunity gaps and strengthen primary health care.
As Dr. Janabi declared, “Every child and every community must be protected from vaccine-preventable disease, and success is within reach if decisive action is taken.” The world is watching, and Africa’s response will determine whether diphtheria becomes a tragic reminder of systemic failure or a powerful example of collective action and health security.

